Quiz 1 of 0
Scenario Based Question 5
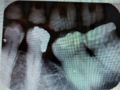
A woman comes with a complaint of bad taste and feels dull ache in the 36 37 regions specially after she eats meat and when food gets stuck. Ootherwise no pain when drinking. You took bitewing Xray, and you can see multiple composite restorations and caries. You also can see an open contact between 36 and 37 with 36 having secondary caries while 37 was mesially tilted with slight vertical bone loss seen mesially.
Bitewing taken: There are lot of caries x ray was given.
- Upper right: 17 (mesial caries), 15 (distal caries)
- Lower right: 47 (mesial caries), 46 (distal caries)
X-ray bitewing showing multiple composites.
- upper 27, 26, 25, 24 and
- lower 37, 36 (with recurrent caries in the filling), 35, 34
